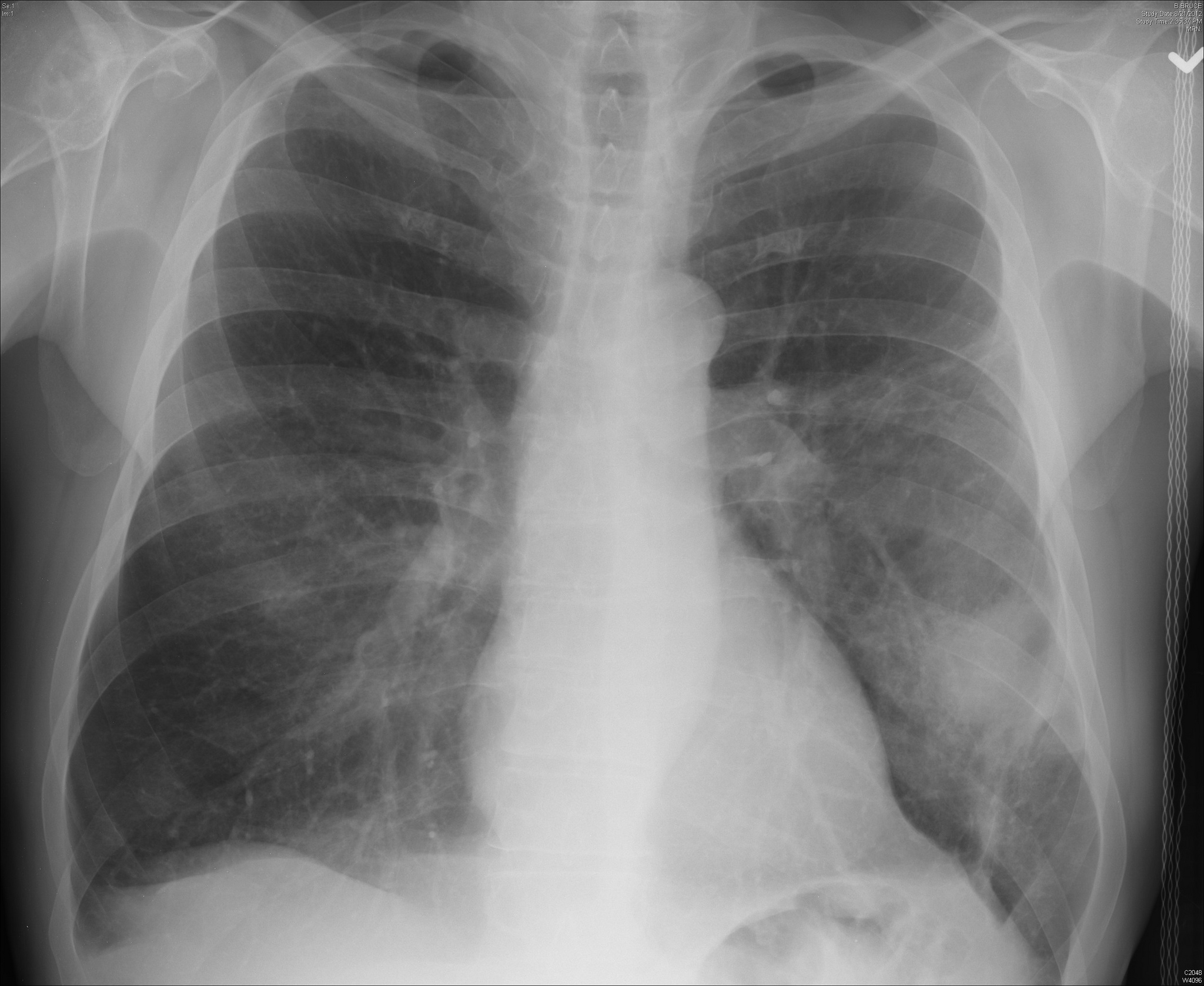
What is pneumonia?
Pneumonia is an infection that inflames the air sacs (alveoli) in one or both lungs. The alveoli may fill with fluid or pus, causing cough with mucus or pus, fever, chills, and difficulty breathing. Pneumonia can range in seriousness from mild to life-threatening. People with chronic illnesses or weakened immune systems at a higher risk for serious complications.
How do I get it?
- Having a weakened immune system, having a chronic illness, smoking, being hospitalized, being in a crowd of people
- A variety of bacteria, viruses, and fungi can cause pneumonia. Being near people who are infected with pneumonia can increase your chances of getting it. The bacteria, fungi, and virus can be found in the air, fluids, and surfaces.
What can it lead to?
- Bacteria in the bloodstream (which can infect organs and cause organ failure), fluid accumulation around the lungs, and difficulty breathing
- If left untreated, serious complications
What can you do to prevent it?
Get vaccinated, wash hands thoroughly, don’t smoke, maintain a strong immune system (exercise regularly, eat healthy, get enough sleep)
Resources
Special Thanks
Derek Chang graduated with a Bachelor’s degree in Biomedical Engineering from the University of Utah. Go Utes! He was born and raised in Salt Lake City, Utah. He aspires to become a physician-entrepreneur to find and create new ways of improving overall patient health. He enjoys skiing, hiking, camping, reading books, meeting new people, and learning anything new.

